Dinoflagellates.

ATS is an algae growing machine, believe me, you don't wan't in your system while you're battling dinos. I made the mistake to put it back on line to early and I managed to bring back the dinos in no time. If you have an algae scrubber and you take it offline during your battle with dinos, don't bring it back in service for at least 2 month after you believe that you're dino free.
BEFORE BRINGING THE ALGAE SCRUBBER BACK IN SERVICE MAKE SURE YOU BLEACH THE SCREEN and start it all over, just like you got a brand new algae scrubber.
 
Updates.
My tank looks better than it ever has.

But I suppose I still "have dinos."

Every day I wring out, then FW rinse clean the filter floss strip that I have mounted in front of my biggest powerhead.
9a53b4f907fa1072b0fff9f90c18e641.jpg

It's always ostreopsis that comes out, virtually nothing else - pure ostis.

So that's my daily dose to do experiments on. No sign of dinos anywhere else in the tank. I do have one corner with a little patch of cyano. I still have a massive amount of caulerpa and chaetomorpha in the tank. Not ready to remove it yet.

As for experiments, I repeated the iron B12 trial using a different B12 vitamin with different fillers than the other one.
Last time the control had very few dinos, B12 grew more, and Fe grew more than double the amount of others.
This time the B12 did worse than the control at growing dinos. It grew cyano and bacteria much more. I suspect much of the effect either way is fillers in the vitamin, going to stop testing B12 unless anyone knows of a pure b vitamin source.
The iron treatment again did by far the best at growing dinos. The dino population in the Fe was at least double that in the control or B12 every day for about a week. In the end, Fe had almost 3x dinos (ostreopsis) that the control did.

I feel pretty comfortable saying that in my tank with high levels of available N & P & light and tons of macroalgae, the low presence of iron limits the dino growth. (I'm sure it slows the algae growth too). To me it's not far fetched to think that it might happen in other healthy systems where algae growth keeps Fe low and keeps dino population growth below predation levels and out of sight.
If anyone knows of a method other than algae competition - faster hopefully - that can take iron down below biologically usable levels that might be an interesting thing to look into. Triton Detox looks intriguing. But remember we're talking about levels way below what Triton test (or any other easily available test) can detect.
That seems in Randy's wheelhouse but I haven't seen any posts of his about stripping Fe out of water, except to tell people don't do it.


If we can't see any signs of dinos I can't see any reason for chasing them.
Be aware that they will still be there waiting for the right moment to rule their world.

A few years back had a bucket full of sand that I sucked from the top layers and stored for a few months.
After I emptied it I noticed the insides of the bucket had gotten very heavily stained with red/orange.
I doubt it could have been just dinos so the iron from the GFO is the most likely source.
 
karimwassef said:
34cygni - yes. I've maintained my cryptic zone. It's so cryptic that a couple of fish have gotten in there and I have no way to get them out without tearing it apart.

They've lived there for 6 months now. Eating whatever pods they find, I assume.

LOL -- When you posted pics of your monster skimmer, I ended up counting the number of unions visible in the plumbing and thinking, "That's clearly the work of an experienced reefer." But sometimes life is learning the same lessons over and over again in different ways, and in this case it looks like that would be "always remember you will have to clean and fix whatever you make, so make it easy to take apart"...!

In any event, pods may not be the only things those fish are eating... Hungry fish is why sponges mostly live under reefs instead of on them, so could be there aren't any large sponges living in your cryptic zone. If so, you can't be getting much bang for your buck. Maybe if there were more filter feeders in your cryptic zone, you'd be seeing fewer in your DT -- sort of like an algae scrubber. But unlike an algae scrubber, a fully functioning cryptic biofilter doesn't allow you to feed more, it allows you to feed less...

It's counterintuitive, I know -- the obvious assumption is that more biofiltration capacity means the system can handle more food, and more food means faster growing, more colorful livestock. But the sponge loop means cryptic zones aren't just detritus dumps but in fact also operate as specialized recycling centers, and if you can successfully recycle more nutrients and organic carbon within the system, you don't need to put as much in to keep it going. It's an improvement in the system's overall efficiency, like tinkering with your car so it gets better gas mileage.

Pretty sure that's how this tank works, for example.

Is your cryptic zone still no-flow? Natural cryptic zones have some flow -- 2-4 cm/s is normal for the small, highly interconnected caves under the reef crest according to one paper -- and that Tank of the Month I linked to puts ~1500 G/hr through what looks like about a 30G cryptic sump (...my math says it's a bit shy of 35G, but it's a rimless tank and not full to the top).


karimwassef said:
The acrylic front gets covered up with tiny featherdusters and coralline (that won't grow in my DT).

34cygni said:
As you might expect, the bacterial population of coralline is coral-friendly.

Since your cryptic zone is favoring coralline growth, if you decide to tinker with or rebuild it to retrieve your fish and see if you can get it to work better, you might try putting it downstream of your scrubber and macro to absorb some of the algal DOC and algae-friendly bacterioplankton before it gets to your DT. If coralline isn't growing in your DT, could be it's because the microbiome there is algae-dominant.


karimwassef said:
I think a tank without some algae running somewhere (ATS, overflow, etc...) is not really healthy. I think the best path is to feed and evolve from diatoms to green hair to coralline... not to remove nutrients and devolve into dino death...

Getting to coralline, let alone keeping the darn stuff healthy over the long term, is the tricky bit. It's a shot in the dark, dare I say, but I'm hoping the sponge loop can help with that.


karimwassef said:
Amazing how this hobby keeps me learning.

+1

BTW, was this...


34cygni said:
apparently dinos make a point of trying to lock up nitrogen

...what you were getting at when you were obsessing over nitrogen some weeks ago? I didn't want to make any assumptions, but I totally connected N with taricha's post about trace elements, and I wouldn't have been thinking about it if you hadn't been talking about it. At the time you were jumping up and down and pointing at the nitrogen cycle, though, I didn't see it.

--

Fish Keeper82 said:
Its been kicked around in the local reef club of trying some technology used over seas using nano micro bubbles to produce a skimming effect in the tank.

Call me a scaredy-cat if you will, but to be frank, this idea sounds like something I wouldn't want to touch with a 10-foot pole -- if this went wrong and you aerosolized dino toxins, that would be Bad.

Removal processes that involve interacting with dinos, such as this, nvladik's plastic mesh...


nvladik said:
Update on the crubber guys... deff still have dynos, but I don't see any on rock/coral, I know they are in the water. Every day when I take out the scrubber I can smell them within seconds.

...or for that matter even filter socks always make me nervous because some of the dinos in our tanks can make toxins that affect people.

Safety first!


Pants said:
I didn't see much discussion here about the toxins produced by these guys and wanted to make sure everyone is taking proper precautions.

Ostreopsis sp. makes palytoxin. This is a toxin all reefers should be familiar with as palythoas and zoanthids produce this toxin and there are stories every year of hobbyists nearly killing themselves by mishandling these corals. Amphidinium isn't really thought of as highly toxic, but I've talked to too many reefers with Amphidinium blooms who have experienced personal health effects when killing these that I think we should treat Amphidinium with respect as well.

The dinos won't release the toxin until they die, so before starting any eradication procedures you should make sure the area around the tank is well ventilated, and have carbon ready to run. It would be a good idea to keep everyone (including other pets) away from the tank and wear gloves and a mask if you are getting a lot of dino die off.

Ecology and oceanography of harmful marine microalgae
https://www.terrapub.co.jp/e-library/nishida/pdf/nishida_023.pdf

FWIW, I like my North 7700.

--

taricha said:
B12 definitely increased photosynthetic output, and also seems to have juiced cell division somewhat.

I couldn't turn up any obvious link between vitamin B12 and photosynthesis, so I tried to find an indirect link. B12 was found to facilitate more efficient use of Fe, Zn, and Cu in a species of diatoms, so one possibility is that the uptick in activity you saw was fueled by better use of nutrients that the dinos already had on hand. But I figured if B12 substantially increased photosynthesis but only moderately increased reproduction, all that energy must be benefitting the dinos indirectly, as that would account for the manifest inefficiency of whatever was going on.

Poking around in Google Scholar turned up a link between the B12 economy and the Roseobacter bacteria clade, which you may recall from page 101. Turns out rosies are big into B12 synthesis. As of 2015, of the >50 rosies that have had their DNA sequenced, every single one had the genes for making B12. This makes sense given how tight rosies are with algae, and since rosies are involved, naturally that means organic sulfur is part of the B12 economy.

Since dinos kinda suck at absorbing nutrients from the water column and bacteria are notoriously good at that, your dinos may have pumped up their photosynthesis levels because most of the B12 you dosed was absorbed by bacteria, and the dinos needed the fixed carbon to make organic compounds so they could trade for it -- so rather than vitamin B12 increasing photosynthesis, I suspect increasing photosynthesis helped the dinos acquire B12. Or, being that they're dinos, maybe they were fattening up bacteria before eating them... Though on the other hand, heterotrophic dinos have been observed to snag plastids from their prey and keep them working for short periods of time, sometimes less than an hour, before digesting them; I hypothesized that they may need to photosynthesize for a little while to make organic carbon so they could make DMSP as a sink for sulfide, but maybe they're making organic sulfur to barter for B vitamins.

Have you tried Fe + B12 to see if that moves the needle on N or P? Colimitation by B12 and Fe has been observed in "high nitrate low chlorophyll" regions of the ocean. You might also try playing around with different combinations of B12, Fe, and Si to see if you can trigger diatom growth, as HNLC regions are typically low in dissolved Si, too.

I was going to suggest checking your dinos' response to B1 and B7, as well, since there's an outside chance that other, less toxic species of dinos are unable to compete because they're B1 and/or B7 auxotrophic -- it would be huge if you found a way to induce a population shift away from ostis in an infested tank by dosing B vitamins -- but it looks like I'm too late.

And by any chance, are you using OTC vitamin pills as a source for B12? I suggested this back on page 111...


34cygni said:
I expect a safer approach would be to take a water sample, or a sample of sand, or a sample of skimmate, give it a good long shake, pass the water through a 10uM filter sock, and see if you can culture bacteria from the filtered water with a source of cellulose. Those bacteria could then be tested on a jar of dinos and a sample of macro. They may not be effective by themselves, but a combination of TDA-making rosies and cellulose-eating bacteria that get along with each other might be what we're looking for (hence the suggestion to try culturing the latter from skimmate or live sand).

...because dinos make their armor out of cellulose -- and as it turns out, cellulose is commonly used in vitamins and other pills to fill out the bulk of each pill when the active ingredient is present only in small quantities. I can't help but wonder if your second B12 run demonstrated proof of concept.


taricha said:
Fe showed greatest increase in dino numbers, clear response.

Are you using a chelated iron supplement? You might look into complexed iron (...chelation is technically a type of iron complex, I believe, but as I've said, chemistry is not my thing) as there may be other options that are more readily available to dinos -- I don't imagine anyone else would be interested in trying the relevant experiment on the off chance that it actually works, but if you give it a go, I'd be interested in the results.

I'm thinking that if there's an another form of iron supplement that your dinos clearly like more than chelated iron, maybe that should be dosed on a healthy reef to see if symbiodinium dinos like it, too.


taricha said:
Which makes me think that they really just grab on to whatever isn't mucous protected (no sign on my softies) that sits in high flow, just like the netting used earlier by nvladik.

As a general rule, dinos do seem to like flow. I've read that scrubbers sometimes go through a dino phase before settling on green algae, which perhaps explains emerald crab's cautionary tale, and the phrase "oversized scrubber syndrome" was used by Floyd R Turbo on Santa Monica's web site to describe the tendency of scrubbers to grow dinos instead of green algae when their screens are too big -- I'd guess that the larger screen compensates for the dinos' comparatively poor ability to absorb N from the water.


taricha said:
Whatcha think? Dinos or no. The color is pure rust brown.

There's been some question as to whether dinos are a problem outside of reef tanks... Sure would've been nice if they'd given you a sample to take home!


taricha said:
It's always ostreopsis that comes out, virtually nothing else - pure ostis.

You might try adding a UV unit. If you knock back your ostis, maybe the amphidiniums that won't come out of the sand will pop up again.


02/22/2016, 03:00 AM #3173
34cygni

Fish Keeper82 said:
Best guess i can make from PANTS website is i now have amphidinium Dinoflagellates.

I have not seen Ostreopsis since i added the UV sterilizer.

This fun science fact dropped into the mix about a week ago...


02/13/2016, 10:06 AM #3086
taricha

Turns out some amphidinium species (Those that are laterally flattened, like mine) makes a daily cycle within the sand going deeper at night.

By killing dinos in the water column, UV would be a strong selection pressure favoring species that stay in the sand at night.

--

joti26 said:
I am also getting far less of the greyish debris, just syphoned the rocks this evening into the eden 501 and having not cleaned it for four days amazed at how little was in there.

Do you get any aroma of sulfur when bringing this stuff up? From my own experience, I associate stinky grey vileness that nothing wants to eat with the anaerobic decay of uneaten food -- I think the worse the smell is, the more animal protein there is in the mix, but that's just a guess. If you're seeing less of this gunk without a change in your feeding routine, it's probably because your CUC is happier and healthier and has the support of a hungry population of microfauna.

--

Billybatz9 said:
My biocube was torn down 4 days ago.

It has crossed my mind that AIO systems may be particularly prone to getting stuck in the dino-dominant ecological state, partly because mechanical filtration that doesn't trap dinos seems to work to their favor and partly because they have teeny-tiny fuges, which means there isn't a lot of heft behind the algal holobiont. The tank:sump ratio looks way too high, if it isn't actually a divide by zero error. But on the other hand, all-in-ones are so widely modded and added on to with HOB fuges or whatever that it's hard to make generalizations...

--

robertifly said:
What has seemed to make a real difference is blackout 4 days combined with a strong UV, with adding phytoplankton, more clean-up crew, pods and a ball of cheato in DT.

Thanks for your report. It's nice to hear this works with the clean method, too, in part because it looks like karimwassef was the first to suggest trying it...


08/17/2015, 08:39 PM #1549
karimwassef

Have you considered planting a large mass of chaeto or grape caulerpa?

Maybe get a green hair algae rock from a local reef keeper or store?

I think my chaeto and DSB refugium was a strong contributor to my health during the recovery.

There was some discussion of chaeto's possible anti-dino effects leading up to that post, but the idea didn't catch on -- perhaps not surprisingly...


08/17/2015, 09:45 PM #1551
Quiet_Ivy

I have a huge ball of chaeto taking over the right side of my tank. It's full of bristleworms! Ech.

In retrospect, chaeto growing in a tank that had been taken over by ostis looks significant, but at the time... Ech, indeed.

But for a rogue hobbyist going off the edge of the map and deciding to play around with light, rather than blackouts, that chaeto might be an ally in this fight would probably have been overlooked -- taricha FTW!

--

DNA said:
A few years back had a bucket full of sand that I sucked from the top layers and stored for a few months.
After I emptied it I noticed the insides of the bucket had gotten very heavily stained with red/orange.
I doubt it could have been just dinos so the iron from the GFO is the most likely source.

That reminded me of something that caught my eye when I first read through the thread last year...


02/17/2015, 11:45 AM #777
Budman422

This already has been a long battle. Almost 2 years I actually have had better results when I took off the gfo. I also quit wetskimming. Blackouts would work for a little while but they only come back stronger . I have a 20+ year old reef and believe at this point it is time to pull all the old sand. And add new. I think I will also try adding some new rock and trying to resead. I think it is a balance issue and it just isn't balanced. On the other hand I am getting growth on all my corals and have to frag all the time. I have a small biocube that I have stocked with frags from my tank and no dinos present.

IRON RELEASE BY GFO STIMULATES DINOS?????????????????????????????????????????????????????????????????????????????????????????????????????????????????????

Obnoxious CAPS and ????s were me making a note to myself, not part of Budman422's post.
 
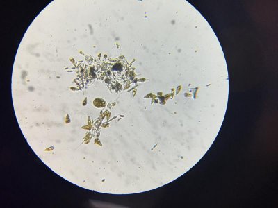
Some new samples from the day guys. All scrubbed off the scrubber with a cue tip, added to test tube. First samples are form a water column, later ones are form particles that settled. And a short video. Appreciate an ID guys if you can see anything..
 

Attachments

  • dyno 1.jpg
    dyno 1.jpg
    86.5 KB · Views: 11
  • dyno 2.jpg
    dyno 2.jpg
    43.1 KB · Views: 8
  • dyno 3.jpg
    dyno 3.jpg
    46.9 KB · Views: 9
  • dyno 4.jpg
    dyno 4.jpg
    57.1 KB · Views: 8
  • dyno 5.jpg
    dyno 5.jpg
    38.3 KB · Views: 6
Some Ostreopsis there swinging and hanging on their flagella.
You got a good shot of it on pic 1, close to the bottom.
 
Unions are your friend. They're expensive, but they can make a complex reef into a system of LEGO-like blocks. Flexibility and ease is key. In case of crisis, they're always there when you need them. They got your back in the middle of the night when nothing else works. It's a true friend that waits patiently and responds immediately when you call on them.
((Tearing up here with emotion))... No, seriously - use them.

I understand the sponge loop. I use my chaeto and cryptic zones to create a flow of life. There's always some flow through my cryptic zone, but it's ~1/10th my main flow that's about 4000gph... so maybe 400gph? That's a guesstimate since I can't really measure it.

The featherdusters are parasitic... they grow everywhere. The coralline prefers darker environments. It grows far from my halides. The cryptic zone only gets the faintest light refracted though the acrylic front. I think that there are difference species of coralline... I haven't found the one that likes direct intense light.

Interesting concept of an algae-dominant microbiome... Need to think and read up on that.
 
karimwassef said:
Interesting concept of an algae-dominant microbiome... Need to think and read up on that.

It's just a pet theory...


34cygni said:
I'd bet good money that coralline is the canary in the coral mine signalling that the bacteria population in an aquarium is shifting away from the coral-friendly bunch that we want and towards dino-friendly types. And as I looked into this, I found that the bacteriological warfare going on between corals and dinos is just one aspect of the general competitive struggle for ecological dominance between corals and primary producers...

34cygni said:
But it's probably Proteobacteria associated with other primary producers that outcompete the dino-friendly bacteria for labile DOC in healthy systems. Nutrient-limited algae dump excess photosynthate into the water column when the lights are on, so I'd expect the bacterioplankton population in a closed, recirculating, oligotrophic system to be dominated by algae-friendly bacteria. That would explain the low level DDAM effects reported on Santa Monica's site a few years back and why many hobbyists have difficulty growing coralline and keeping it healthy.

...but it seems like a reasonable extrapolation from this:

Influence of coral and algal exudates on microbially mediated reef metabolism
http://www.ncbi.nlm.nih.gov/pmc/articles/PMC3719129/pdf/peerj-01-108.pdf
 
Poking around in Google Scholar turned up a link between the B12 economy and the Roseobacter bacteria clade, which you may recall from page 101. Turns out rosies are big into B12 synthesis. As of 2015, of the >50 rosies that have had their DNA sequenced, every single one had the genes for making B12. This makes sense given how tight rosies are with algae, and since rosies are involved, naturally that means organic sulfur is part of the B12 economy.
heh. Been telling myself for a while I ought to actually read your whole megapost on p101. Lots of ideas I've toyed with came from searches that flagged small sections of the megapost.


Have you tried Fe + B12 to see if that moves the needle on N or P? Colimitation by B12 and Fe has been observed in "high nitrate low chlorophyll" regions of the ocean. You might also try playing around with different combinations of B12, Fe, and Si to see if you can trigger diatom growth, as HNLC regions are typically low in dissolved Si, too.
Haven't tried B12+Fe, until yesterday. Co-limitation is complicated. :-)
funny you mention high nutrient low chlorophyll (HNLC) research. a couple of weeks ago, I realized how relevant HNLC was. It's what I've been aiming to create in my water column - available macronutrients and light, but with some crucial micronutrient(s) removed actively by chaeto/caulerpa leading to low dino growth.
It's cool to find what I was doing was well researched in big sections of the ocean - once I realized what it was that I was doing. :-)
The HNLC phenomena is still debated, but Fe or Fe+something are the overwhelmingly favored explanations. That lit helped me narrow my trace element search list.


And by any chance, are you using OTC vitamin pills as a source for B12? I suggested this back on page 111...


...because dinos make their armor out of cellulose -- and as it turns out, cellulose is commonly used in vitamins and other pills to fill out the bulk of each pill when the active ingredient is present only in small quantities. I can't help but wonder if your second B12 run demonstrated proof of concept.
yep. OTC B12 supplements with various forms of cellulose and other fillers. I googled every ingredient because I wondered if I had Fe hiding in my B12, (nope) but I now looking back on the ingredient list, I did find Si in one of the fillers which seems possibly meaningful now. Wasn't thinking those lines at the time unfortunately, so I didn't examine that beaker under right power/light combo to track diatom growth. A revisit of B12+Si with added Fe is certainly worth a look.
B12 vitamin #1 (NatureMade)
1000mcg Cyanocobalamin
Dibasic Calcium Phosphate (CaHPO4)
Stearic Acid (C₁₇H₃₅CO₂H)
Cellulose Gel (C6H10O5)n
Magnesium Stearate Mg(C18H35O2)2
Croscarmellose Sodium - Na and a bunch more cellulose

B12 vitamin #2 (Sundown Naturals)
1500mcg Cyanocobalamin
Vegetable Cellulose
Vegetable stearic acid
Silica (!) - didn't catch that on first glance.
Vegetable Magnesium Stearate


Are you using a chelated iron supplement? You might look into complexed iron (...chelation is technically a type of iron complex, I believe, but as I've said, chemistry is not my thing)
yes Iron EDTA. and I thought complexed and chealated were interchangeable. My Chem Kung-Fu is weak. I'll go back to chealators in a moment...


I've read that scrubbers sometimes go through a dino phase before settling on green algae, which perhaps explains emerald crab's cautionary tale, and the phrase "oversized scrubber syndrome" was used by Floyd R Turbo on Santa Monica's web site to describe the tendency of scrubbers to grow dinos instead of green algae when their screens are too big
Another recurring theme. Nature may abhor a vacuum, but dinos sure love uncontested real estate.


You might try adding a UV unit. If you knock back your ostis, maybe the amphidiniums that won't come out of the sand will pop up again.
I have a UV that I've been waiting on using, I'll start it after I get done with this line of experiments.

AIO systems ... have teeny-tiny fuges, which means there isn't a lot of heft behind the algal holobiont. The tank:sump ratio looks way too high, if it isn't actually a divide by zero error.
Love the analogy. I wish I had a larger sump every day. I feel like I'd have so much more punch behind passive remediation options to create stability.


Originally Posted by 34cygni
I'd bet good money that coralline is the canary in the coral mine signalling that the bacteria population in an aquarium is shifting away from the coral-friendly bunch that we want and towards dino-friendly types.
I can certainly cite the flip side.
Once dinos essentially vanished from my tank in the last 2-3 weeks, Coralline growth exploded - completely covering the back glass, alk has now dropped precipitously. The dino months prior showed only a trickle of Coralline growth in spite of abundant Ca/Alk levels throughout. It never got so bad as to have coralline turn white and die, as others have reported. There was no dosing that could be credited for the change.


IRON RELEASE BY GFO STIMULATES DINOS?????????????????????????

Obnoxious CAPS and ????s were me making a note to myself, not part of Budman422's post.

When trying to limit Fe in my tank, after I ran across this info from RHF, I ripped my very exhausted (many months old) small amount of GFO out of my system....
In other cases, the organic/iron complex can be absorbed and used, and in some of the most interesting cases, these ligands are specifically designed by organisms to "œgo out and collect iron" [siderophores].
...
For example, one research group recently claimed in the journal Nature that "œDissolved Fe(III) in the upper oceans occurs almost entirely in the form of complexes with strong org. ligands presumed to be of biol. origin." 1

The chelators that bind iron in seawater (and by analogy, reef tank water) are many, and come from many sources that are present in our reef tanks. One researcher, for example, details the concern: "œThe present report shows that both inorganic Fe(III) in the presence of oxygen, and humic Fe(III) which stimulates lipid peroxydation, trigger or stimulate the release of chelators from green algae, red algae, and cyanobacteria." 2 Consequently, we should anticipate that we have such chelators in our tanks.
...
"œThis review focuses on how cyanobacteria respond to growth-limiting levels of available iron and on how siderophores potentially alter the biological availability of iron in the system thereby allowing the cyanobacteria to exist at low iron availabilities."

So yeah. It's possible that although GFO adds biologically unavailable forms of Fe, due to cyano, algae & co, it may not all stay that way.

Also this paper on Fe in seawater is unintentionally hilarious in that it's several dozen scientists basically throwing up their hands repeatedly at the complexity of trying to say what forms of Fe really constitutes "bioavailable" and who uses what, and how once in an organism it changes and is used by the rest of the system.
...this task presently is largely beyond our capability. The perspective that developed during the workshop is that iron availability will be a function of: (1) the various chemical forms of iron in seawater, (2) the preference of the uptake mechanism of each organism for one or another of these forms, and (3) the balance between the reaction kinetics of iron
exchange among chemical species, the iron uptake kinetics of a given organism, and the iron demand of each member population within the phytoplankton assemblage. Clearly, the complexity of the natural seawater system frustrates attempts to define a general "œbiological availability" of iron...
..Moreover, our present ignorance of many aspects of iron chemistry in seawater makes it unlikely that we can accomplish this task within the near future.

Basically the whole paper is like that - interspersed with fascinating examples of organisms going to heroic lengths ("Fe-siderophore pirates" is an awesome phrase) to capture Fe that you wouldn't expect they could uptake. Granted, that was 20 years ago. But it still suggests that the notion that we could put bunches of GFO in our tanks and say it's totally unavailable biologically seems an unsupported premise.
 
Also, cyano needs to just chill. It's into every sketchy thing. It's like the organized crime family of the ocean. Any rare, valuable, desired resource - N, B12, Fe whatever - there's a cyanobacteria dealer on a corner somewhere selling his goods.
At this point it wouldn't surprise me to find out cyano has a hand in booze, drugs, and prostitution.
Actually it has been associated with vodka dosing so...
 
I can certainly cite the flip side.
Once dinos essentially vanished from my tank in the last 2-3 weeks, Coralline growth exploded - completely covering the back glass, alk has now dropped precipitously. The dino months prior showed only a trickle of Coralline growth in spite of abundant Ca/Alk levels throughout. It never got so bad as to have coralline turn white and die, as others have reported. There was no dosing that could be credited for the change.

Have any more details on this? My Alk suddenly dropped after caralline/diatoms showed up, and now some coraline is looking whiteish. is it dead?
 
Also, cyano needs to just chill. It's into every sketchy thing. It's like the organized crime family of the ocean. Any rare, valuable, desired resource - N, B12, Fe whatever - there's a cyanobacteria dealer on a corner somewhere selling his goods.
At this point it wouldn't surprise me to find out cyano has a hand in booze, drugs, and prostitution.
Actually it has been associated with vodka dosing so...

:lolspin:

And I agree.
 
Have any more details on this? My Alk suddenly dropped after caralline/diatoms showed up, and now some coraline is looking whiteish. is it dead?
Yeah, March 3 dKH tested at 8.2, (Ca 460) which is low for my tank. Usually 9+. So I added enough to push it to 9.
As dinos declined, coralline growth took off, covering my back glass which gets direct sun - didn't expect it to thrive under straight sunlight.
Few days ago a couple of corals closed, I realized coralline seemed to have slowed, tube worms and clams didn't have much bright white new growth at the end of their growth area, so I tested water again - 6.1 dKH. (420 Ca)
So I added baking soda. Spreading it over a few days, since I'm going 6 to 9.
 
Yeah, March 3 dKH tested at 8.2, (Ca 460) which is low for my tank. Usually 9+. So I added enough to push it to 9.
As dinos declined, coralline growth took off, covering my back glass which gets direct sun - didn't expect it to thrive under straight sunlight.
Few days ago a couple of corals closed, I realized coralline seemed to have slowed, tube worms and clams didn't have much bright white new growth at the end of their growth area, so I tested water again - 6.1 dKH. (420 Ca)
So I added baking soda. Spreading it over a few days, since I'm going 6 to 9.



Cool thanks. I tested mine this morning, 7.0. I aim for 7.5. Will ramp up dosing a little more.
 
Yeah, March 3 dKH tested at 8.2, (Ca 460) which is low for my tank. Usually 9+. So I added enough to push it to 9.
As dinos declined, coralline growth took off, covering my back glass which gets direct sun - didn't expect it to thrive under straight sunlight.
Few days ago a couple of corals closed, I realized coralline seemed to have slowed, tube worms and clams didn't have much bright white new growth at the end of their growth area, so I tested water again - 6.1 dKH. (420 Ca)
So I added baking soda. Spreading it over a few days, since I'm going 6 to 9.

I noticed you have multiple clams and like to point out that they are notorious for sucking the elements out at incredible rates.

I've had a derasa clam for around two years and it's still at the same size as when I got it.
 
Back
Top